Wisdom teeth removal in Leeds
Are your wisdom teeth causing you pain or discomfort? We can help. With our gentle, stress-free wisdom teeth removals, you can get back to feeling your best. Call today for your free consultation.
- Gentle
- Stress-free
- Effective

Wisdom teeh removal
- Pain Relief & Comfort
- Gentle & Stress-Free
- Prevention of Future Issues
- Sedation Options Available
- Fast Recovery & Aftercare
Say goodbye to wisdom tooth pain in Leeds
Struggling with wisdom tooth pain? At Aesthetique, we understand how much that can affect your day-to-day life. We’re here to offer a comforting hand and straightforward advice on whether wisdom tooth removal is the right step for you. It’s a routine procedure that can relieve pain caused by impacted teeth and prevent further dental issues like decay or gum disease.
Our friendly team is dedicated to your care, making sure you’re informed and comfortable every step of the way. If wisdom tooth pain is getting in the way of your happiness, don’t hesitate to reach out.

Common wisdom teeth problems
We’ve seen firsthand the variety of challenges wisdom teeth can bring. From the moment you notice discomfort, our dedicated team is here to help, starting with an examination and X-rays to uncover the heart of the issue.
The hurdles with wisdom teeth can range widely, including:
- Infections that bring pain and swelling
- Odd-looking lesions or tissue changes around the tooth
- Risk of damage to adjacent teeth as they try to make room
- Impacted wisdom teeth that don’t break through
- General sensitivity or discomfort that disrupts your day
If your wisdom teeth are causing you pain and discomfort – reach out. We can diagnose your problem, offer immediate relief with appropriate dental treatments, and discuss all your options, from medication to potential removal.

What to expect from your wisdom tooth removal
We’re here to guide you through every step of your wisdom tooth removal, so you know exactly what to expect. Here’s a quick breakdown of what will happen:

Consultation
We will check your teeth, take X-rays, and decide if removal is needed. From there, you’ll get a custom treatment plan that outlines the process and your recovery – this is a great time to ask any questions you may have.

Preparation
Before surgery, we’ll give you clear instructions to help you prepare, like whether you need to fast if sedation is planned. We’ll also discuss the type of anaesthesia that will be used, if this is the plan for you.

Procedure
If your tooth is impacted, we may need to make a small cut in the gum to access it, and sometimes a bit of bone might be removed. We’ll then gently remove the tooth, possibly in smaller pieces to make it easier.

Aftercare
After the extraction, we may place stitches before giving you some tips on managing pain or swelling, such as using ice packs and taking prescribed medications. We’ll also explain how to keep your mouth clean and which foods are best during recovery.

Follow-up
We might schedule a follow-up to see how you’re healing and to remove any stitches if needed. If anything doesn’t feel right, like pain that won’t go away or signs of infection, just let us know, and we’ll sort it out quickly.
Wisdom teeth extraction recovery
After your procedure, whether under local or general anesthesia, we’ll guide you through every step of the recovery process. If you’ve had general anesthesia, it’s essential to have someone with you to help get you home safely.
Recovery varies by individual, but we’re here to ensure it’s as smooth as possible. You might experience some swelling and discomfort initially, which is completely normal. We’ll provide detailed aftercare instructions to help manage pain and support healing, including tips on oral hygiene, diet, and necessary follow-up appointments.
Our team is committed to your well-being post-surgery and will be available to answer any questions or concerns you might have during your recovery. With the proper care and attention, you’ll be back to your usual self in no time.
Frequently Asked Questions
Have questions about wisdom teeth removal in Leeds? Check our most common ones here or give us a call if you can’t find what you need.

Why choose Aesthetique?
Ready to say goodbye to wisdom tooth pain? Our team at Aesthetique is here to guide you through a seamless and comfortable wisdom teeth removal process. With expert care and a compassionate touch, we’re dedicated to ensuring your experience is as smooth as possible. Don’t let discomfort hold you back—reach out to the leading private dentists in Leeds today and take the first step towards a happier, healthier smile.
Trusted by patients in Leeds


What exactly is a wisdom tooth?
Wisdom teeth are the third and final set of molars that typically emerge in our mouths between the ages of 17 and 30. They can erupt in functional positions and be used for chewing, but often, they need to be aligned (impacted) and may need to be removed if they cause problems.
What does "impacted wisdom tooth" mean?
An impacted wisdom tooth is obstructed by gum, bone, or another tooth, either partially or entirely. A wisdom tooth is considered partially impacted when part of it has emerged through the gum.
What symptoms indicate a tooth infection (pericoronitis)?
Common symptoms include:
- Pain in the affected area, possibly extending to the lower jaw or neck.
- Swelling and redness of the gum around the wisdom tooth.
- Difficulty opening the mouth.
- Pain when biting down near the impacted tooth.
- A bad taste or odor in the mouth from the affected area.
Untreated pericoronitis can lead to a severe infection.
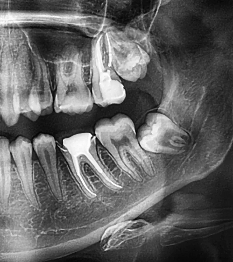
Is an X-ray necessary for wisdom teeth removal?
Most individuals require an OPG (Panoramic) X-ray, which we can perform at our clinic. This x-ray shows the impacted wisdom teeth and other critical structures. If the teeth’s roots overlap with nerves, a more specialized cone beam CT scan, available at our clinic, may be needed.
What does the extraction procedure entail?
The procedure may involve making an incision in your gum to expose the wisdom tooth and possibly removing a small amount of bone to facilitate the tooth’s removal. The gum is then sutured with dissolvable stitches. During your initial consultation, your dentist will discuss the procedure, including risks and benefits.
Will the extraction be painful?
The procedure is performed under local anaesthesia, so you’ll be conscious but should not feel pain. If you do feel discomfort, signal the surgeon to stop; additional anesthesia will be administered. Sedation is an option for those who prefer it, often resulting in no memory of the procedure.
Can I have sedation during wisdom tooth removal?
Yes, sedation is available and considered very safe. A sedation assessment will be conducted before your procedure to explain everything.
How much time off work will I need after my wisdom teeth are removed?
Recovery time varies, with many patients returning to work the next day. Typically, 1 to 5 days off work is sufficient for most people.
How should I prepare for my wisdom tooth extraction?
We’ll give you specific instructions for the day, like fasting if sedation is planned. Make sure you have a ride home, as you might feel a bit groggy afterwards. Wear comfy clothes, and avoid smoking or drinking alcohol before the procedure.
What should I expect during the recovery period?
After the procedure, you might notice some swelling, pain, and a little bleeding, which is normal. We’ll ask you to rest, use ice packs to reduce swelling and take any medication we prescribe.
What foods can I eat after wisdom tooth removal?
Stick to soft foods like yoghurt, mashed potatoes, soup, and smoothies. Avoid hot, spicy, crunchy, or chewy foods that could irritate the area. We’ll let you know when it’s okay to start eating more solid foods again as you recover.
How do I prevent dry socket after wisdom tooth removal?
To avoid dry socket, skip drinking through a straw, smoking, or spitting hard in the first few days after your extraction. We’ll give you aftercare instructions to help keep the area clean without disturbing the blood clot.

















